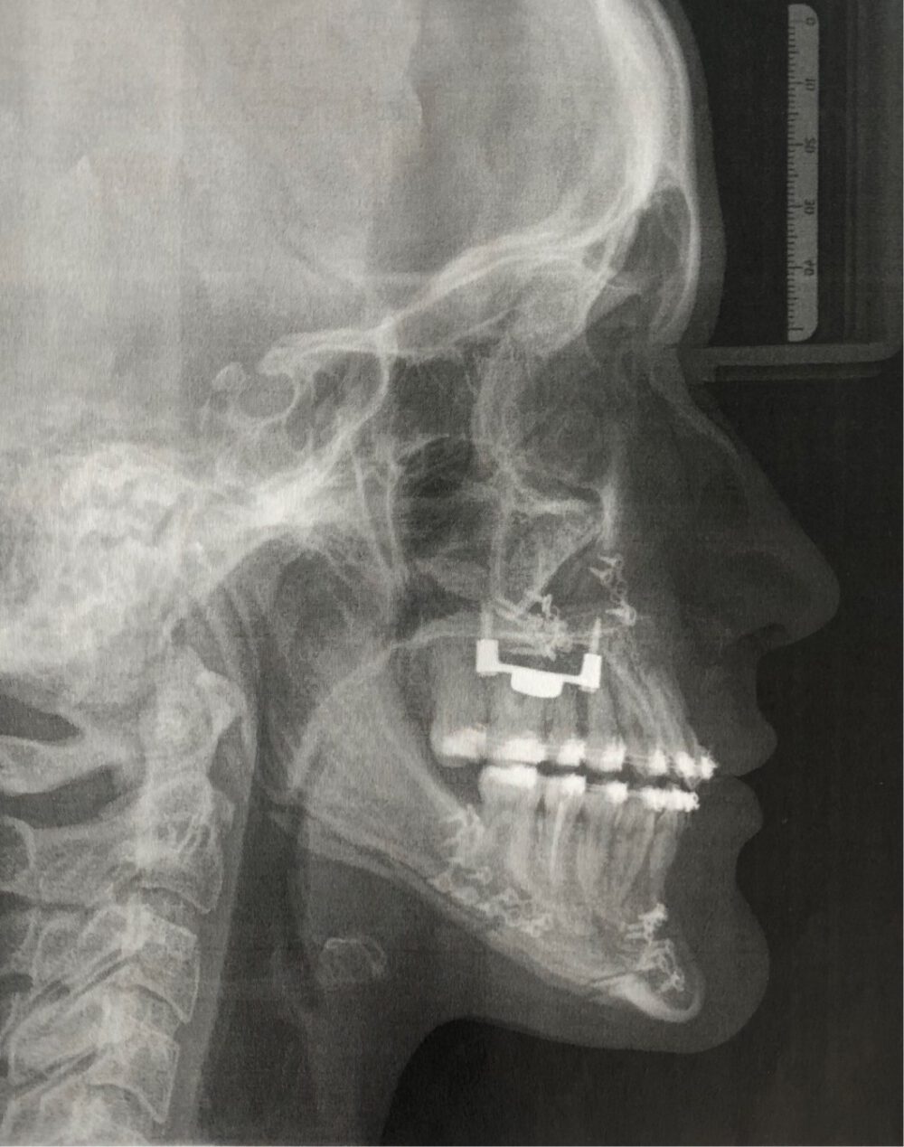
Vorher
Diagnose:
Maxilläre Retrognathie, OK-Schmalkiefer, Hyperdivergenz, erschwerter Lippenschluss
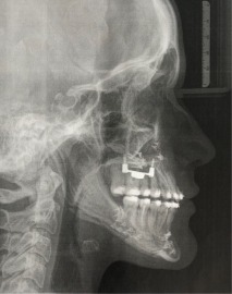
Nachher
Therapie:
Surgery First: Bignathe Umstellungsosteotomie (Minimalinvasive Le Fort I Osteotomie mit Vorverlagerung und simultaner Oberkieferdistraktion, gesonderte Spina Nasalis Osteotomie zur besseren Kontrolle von Oberlippenposition und -volumen, Anhebung der Nasenspitze, Unterkiefersegmentosteotomie 32-42 zur Vergrößerung der sagittalen Stufe (Dekompensation),
Kinnosteotomie, Side Wing Osteotomie mit Beckenkamminterponat)







